Topia MedTech, is advancing healthcare through smart, accessible medical technology. We specialise in wearable diagnostics and AI-powered imaging solutions that enhance clinical efficiency. Our flagship products include FibriArt, a continuous ECG monitoring patch for cardiac care, used by cardiologists and MD physicians to detect arrhythmias and monitor heart health. Alzevita, an AI-based MRI segmentation and volumetry tool that supports radiologists with fast, consistent brain imaging analysis. We empower healthcare professionals with data-driven tools that enable better, faster clinical decisions.
Learn More..
Intelligent ECG & AI-Powered Diagnostics for Heart Health and
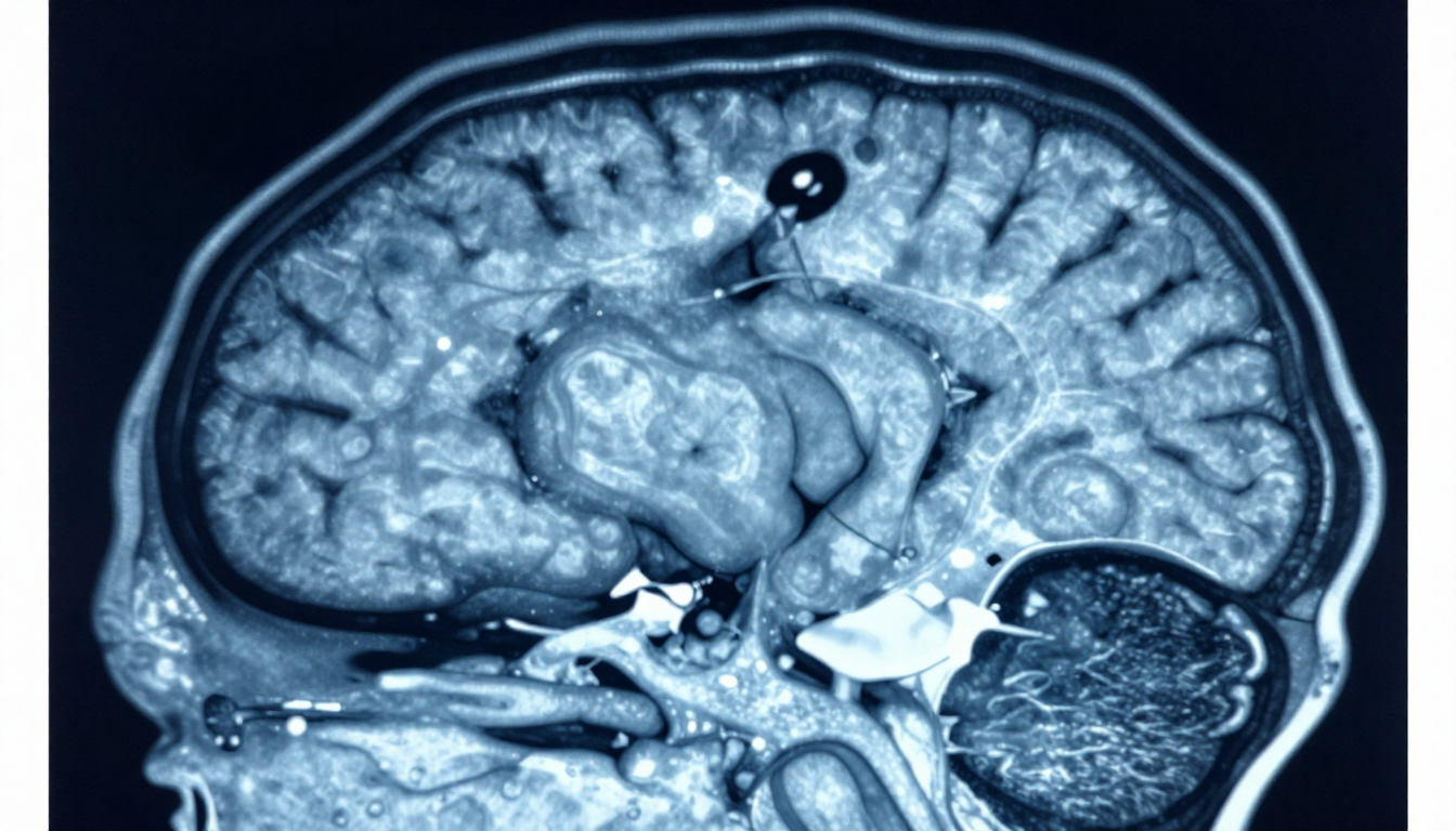
Brain MRI Segmentation & Volumetry with
FibriArt &
Alzevita.
FibriArt is a smart medical device that captures medical-grade ECG on a smartphone. It records a single-lead ECG, providing patients and physicians with accurate insights into heart health, including arrhythmia diagnosis like Afib and AFL.
Learn More
Streamline brain MRI analysis with Alzevita’s automated hippocampal segmentation and volumetric reporting. Built for radiologists and imaging labs, it improves workflow efficiency and delivers consistent, reproducible imaging insights for clinical decision-making.
Learn More
As cardiovascular diseases and arrhythmias continue to rise, clinically reliable ECG devices have become essential for accurate...
Alzheimer’s disease is the most common cause of dementia worldwide and one of the leading reasons older....
Electrocardiography (ECG) remains a cornerstone of cardiovascular care, with the 12-lead ECG recognized as the diagnostic gold standard for comprehensive heart evaluation...
Alzheimer’s disease is a progressive neurodegenerative condition that often begins years before clear clinical ....
In our previous blog, we explored how neuronal loss in the temporal lobe is linked to conditions.....
ECG monitoring is one of the most widely used tools in cardiac care. It is often the first step when evaluating patients with symptoms such as palpitations.....
When we talk about brain health, most people think about memory loss or movement problems.....
Cardiac monitoring has always been a key part of diagnosing heart conditions, but the way these conditions present today is changing.With the rise in atrial fibrillation.....
In cardiology and general practice clinics, patients frequently present with symptoms suggestive of cardiac rhythm disturbances, yet the ECG recorded during consultation may appear normal.....
Neurological conditions such as Alzheimer’s disease, Parkinson’s disease, and other.....
Cardiovascular diseases remain one of the leading causes of death globally, often because many heart-related conditions develop silently over time. In several cases, individuals may not experience.....
Brain MRIs are often used to detect conditions like stroke, brain tumors, bleeding, or neurological.....
In the previous article, we discussed how hippocampal atrophy progresses across different stages of Alzheimer’s.....
Cardiac rhythm disorders, also known as arrhythmias or heart rhythm abnormalities, are disruptions in the normal electrical impulses that coordinate the heartbeat. These conditions range.....
In our previous article, How MRI Scanning Shows Brain Structural Abnormalities, we discussed how structural MRI.....
The heart's electrical system is a finely tuned biological circuitry that governs every heartbeat. When this electrical system works correctly.....
Magnetic Resonance Imaging (MRI) has become one of the most important tools for understanding.....
Today marks a truly special moment for all of us at Topia MedTech. We’re proud to share that...
Longitudinal MRI is the practice of comparing brain scans taken at different time points to understand.....
In many Neurodegenerative diseases, Early neurodegeneration often begins with structural.....
Modern brain imaging plays a critical role in understanding neurological conditions.....
Artificial Intelligence continues to redefine how radiologists understand brain structure and function.....
The hippocampus is a small, curved structure deep within the brain that plays a central role.....
When we began building Alzevita in 2023, our mission was simple but ambitious: to replace manual.....
For over 50 years, Holter monitors have been the standard tool for outpatient cardiac rhythm evaluation. They've been indispensable - but.....
Heart problems often develop silently, making early detection critical. If you're experiencing symptoms like chest pain or irregular heartbeat.....
Heart problems often develop silently, making early detection critical. If you're experiencing.....
The demand for real-time cariac monitoring has led to a segnificant rise in the use of wearable ECG devices...
For decades, electrocardiograms (ECGs) have been a fundamental tool in diagnosing cardiac conditions...
Heart disease remains a threat at the global stage, as cardiac deaths exceed 5% of all deaths in the US alone...
USA, North Carolina
Headquarters
UK, London
India, Ahmedabad
India, Vadodara
Mexico
EU, Ireland
EU, Spain
EU, Portugal
EU, Romania